W implantologii dużo mówi się o tytanie, koronach i estetyce. Rzadziej o tym, co realnie decyduje o długoterminowym powodzeniu leczenia: przestrzeni biologicznej — mikroskopijnej strefie tkanek otaczających implant, która działa jak naturalna bariera ochronna.
Czym jest przestrzeń biologiczna implantu i dlaczego jest tak ważna?
Przestrzeń biologiczna to warstwa tkanek miękkich i twardych otaczających implant (dziąsło oraz kość), która — mimo że liczy zaledwie kilka milimetrów — ma fundamentalne znaczenie dla zdrowia, stabilności i trwałości wszczepu.
Przestrzeń biologiczna działa jak bariera ochronna
- Chroni przed wnikaniem bakterii,
- Zapobiega stanom zapalnym (w tym periimplantitis),
- Stabilizuje kość i dziąsło,
- Wpływa na długowieczność implantu i estetykę uśmiechu.
To biologiczna granica, której nie można naruszyć — ani łącznikiem, ani koroną, ani nieprawidłowym planowaniem protetycznym.
Implant nie ma ozębnej. Ma tylko przestrzeń biologiczną
Naturalne zęby mają więzadła ozębnej, które pełnią funkcje amortyzujące i ochronne. Implant — jako ciało obce — tej struktury nie ma. Jego jedyną biologiczną linią obrony jest właśnie przestrzeń biologiczna.
Jeśli zostanie naruszona, może dojść do:
- cofania się kości i dziąsła,
- stanów zapalnych wokół implantu (periimplantitis),
- ekspozycji łącznika lub śruby,
- problemów estetycznych (recesja, „czarna linia” przy koronie),
- utraty odbudowy protetycznej, a czasem także implantu.
Najczęstsze błędy prowadzące do utraty przestrzeni biologicznej
Nieumiejętnie zaplanowane leczenie może naruszyć delikatną równowagę biologiczną. Poniżej najczęstsze błędy, które klinicznie zwiększają ryzyko problemów:
1) Zbyt głębokie osadzenie implantu lub łącznika
Zbyt głęboka pozycja może zaburzać przebieg tkanek i sprzyjać utracie kości wokół implantu.
2) Brak platform switching
Implanty bez przesunięcia platformy nie zawsze zapewniają optymalne warunki dla stabilnego uszczelnienia tkanek miękkich i utrzymania poziomu kości.
3) Nieprawidłowy profil wyłaniania
Zbyt agresywny lub nienaturalny kształt łącznika może powodować ucisk tkanek, recesję dziąsła i pogorszenie warunków higienicznych.
4) Korona z nawisem
Nawisy utrudniają oczyszczanie okolicy implantu, sprzyjają retencji płytki i zwiększają ryzyko stanu zapalnego tkanek.
Czy pacjent może wpłynąć na przestrzeń biologiczną?
Nie — to przede wszystkim zadanie lekarza. Pacjent nie ustawia pozycji implantu, nie projektuje profilu wyłaniania ani nie decyduje o geometrii odbudowy protetycznej.
Dlatego wybór specjalisty jest kluczowy. Implantologia to nie tylko chirurgia — to precyzyjna równowaga między biologią, estetyką i biomechaniką.
Objawy uszkodzenia przestrzeni biologicznej – na co zwrócić uwagę?
Jeśli coś poszło nie tak, organizm często daje subtelne sygnały. Do objawów, które mogą sugerować problem z przestrzenią biologiczną wokół implantu, należą:
- zaczerwienienie lub cofanie się dziąsła wokół implantu,
- ujawnienie metalowej części łącznika,
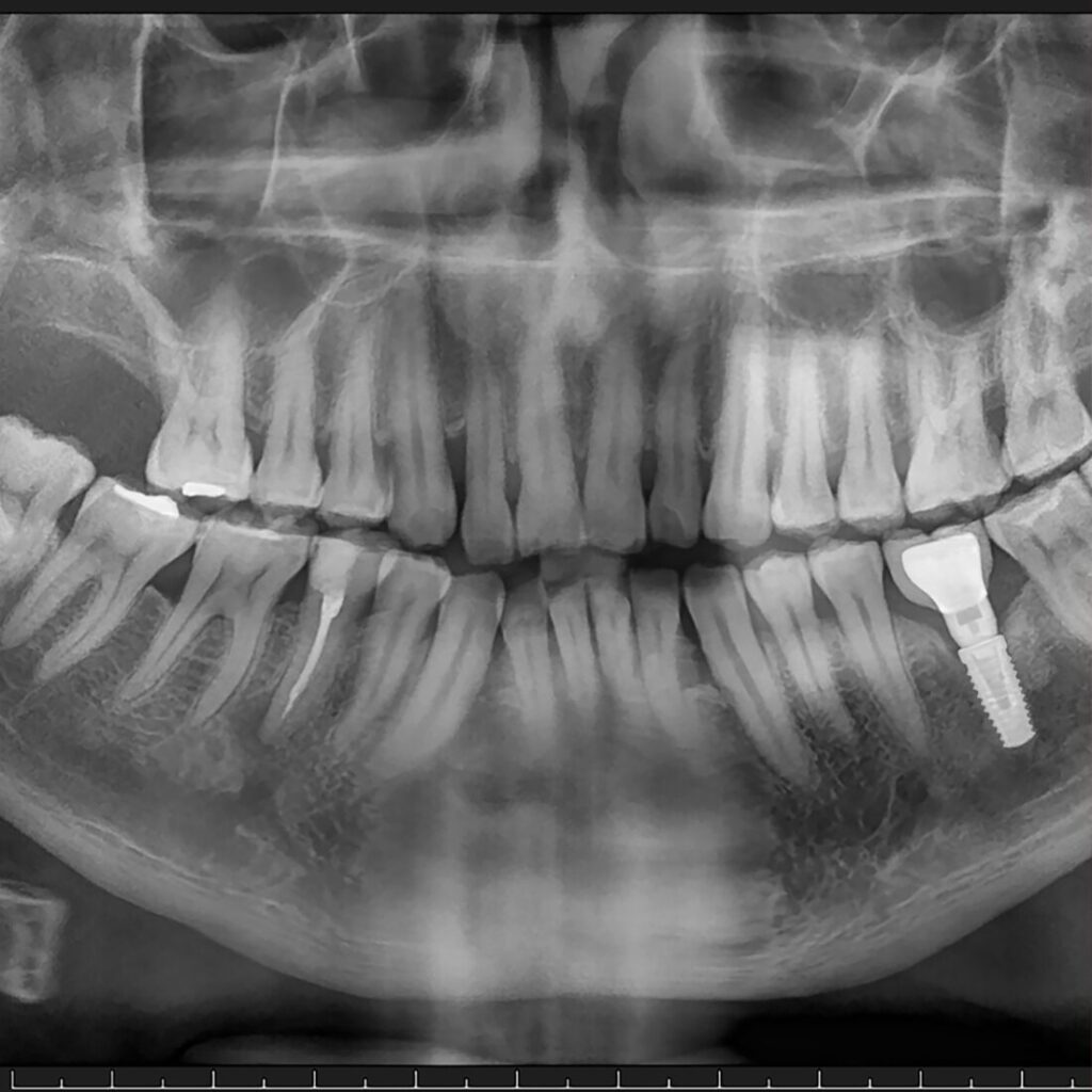
- postępująca utrata kości widoczna w RTG,
- krwawienie podczas szczotkowania w okolicy implantu,
- przewlekły dyskomfort, obrzęk lub nieprzyjemny zapach,
- defekty estetyczne: ciemna linia u podstawy korony, asymetria dziąsła.
Jak chronimy przestrzeń biologiczną w Unident Union (Wrocław)?
W naszej klinice ochrona przestrzeni biologicznej to priorytet. Projektujemy leczenie tak, aby zapewniało nie tylko estetykę, ale przede wszystkim stabilność biologiczną na lata.
Nasze podejście obejmuje:
- Platform switching – wspieramy uszczelnienie biologiczne poprzez przemyślane połączenie implantu i łącznika,
- Indywidualny profil wyłaniania – modelujemy tkanki zgodnie z anatomią pacjenta,
- Korony bez nawisów – redukujemy ryzyko stanu zapalnego i ułatwiamy higienę,
- Dostosowanie wysokości łącznika do grubości dziąsła – stabilniejsze warunki tkanek,
- Minimalnie inwazyjna chirurgia – mniejsze urazy, szybsze gojenie,
- Kontrola sił okluzyjnych – ograniczamy przeciążenia implantu,
- Stała opieka pozabiegowa i higienizacja – regularny monitoring i profilaktyka.
Podsumowanie: Przestrzeń, której nie widać — ale decyduje o wszystkim
Implant może być idealnie dobrany, a korona wyglądać jak naturalny ząb. Jednak jeśli przestrzeń biologiczna zostanie uszkodzona, długoterminowa stabilność odbudowy może być zagrożona.
Dobrze zaprojektowana przestrzeń biologiczna to:
- mniejsze ryzyko stanów zapalnych,
- stabilny poziom kości,
- zdrowe dziąsło wokół implantu,
- naturalna estetyka,
- długowieczność pracy protetycznej.
Dlatego leczenie implantologiczne warto powierzyć zespołowi, który rozumie nie tylko technikę, ale też biologię tkanek i zasady stabilnej integracji implantu.

FAQ – Przestrzeń biologiczna wokół implantu
Czym dokładnie jest przestrzeń biologiczna?
To strefa tkanek (dziąsła i kości) wokół implantu, która tworzy barierę ochronną przed bakteriami i stanowi fundament stabilności tkanek.
Czy przestrzeń biologiczna wpływa na trwałość implantu?
Tak — w praktyce klinicznej to jeden z kluczowych czynników długoterminowego powodzenia. Stabilna przestrzeń biologiczna sprzyja utrzymaniu kości i zdrowych tkanek miękkich.
Jakie są konsekwencje uszkodzenia tej przestrzeni?
Najczęściej pojawia się stan zapalny tkanek, stopniowa utrata kości, recesja dziąsła i pogorszenie estetyki. W zaawansowanych przypadkach może dojść do utraty implantu.
Jakie błędy najczęściej ją niszczą?
- zbyt głębokie osadzenie implantu lub łącznika,
- brak platform switching,
- źle zaprojektowany profil wyłaniania,
- korona z nawisem utrudniającym higienę,
- przeciążenia okluzyjne i brak kontroli zgryzu.
Czy pacjent może zniszczyć przestrzeń biologiczną?
Bezpośrednio — nie. Natomiast pośrednio, zaniedbania higieniczne i brak wizyt kontrolnych mogą przyspieszać stan zapalny, jeśli występują błędy konstrukcyjne lub biomechaniczne.
Jak sprawdzić, czy przestrzeń biologiczna jest nienaruszona?
Najpewniejsza jest systematyczna kontrola: ocena tkanek miękkich, zdjęcie RTG do analizy poziomu kości, weryfikacja szczelności odbudowy i ocena higieny okolicy implantu.
Jak często wykonywać kontrole implantów?
Najczęściej zaleca się wizyty kontrolne co 6–12 miesięcy (indywidualnie, zależnie od ryzyka i higieny), a profesjonalną higienizację zgodnie z planem ustalonym przez lekarza/higienistkę.
Czy periimplantitis zawsze oznacza utratę implantu?
Nie zawsze. Wczesne wykrycie i leczenie (higienizacja, kontrola odbudowy, redukcja czynników ryzyka, a czasem zabiegi chirurgiczne) mogą zatrzymać proces. Kluczowy jest czas reakcji i przyczyna problemu.
Umów się na konsultację w Unident Union – Wrocław
Jeśli rozważasz leczenie implantologiczne lub chcesz ocenić stan obecnych implantów — zapraszamy.
📍 Adres: al. Kochanowskiego 20 CD, 51-601 Wrocław
📞 Telefon: (+48) 71 328 12 12
📧 E-mail: biuro@unidentunion.pl
🌐 Strona: unidentunion.pl
Chcesz, by Twój implant służył przez lata bez komplikacji?
Pamiętaj — sukces zaczyna się od niewidocznej przestrzeni biologicznej. A tę może prawidłowo zaprojektować tylko doświadczony implantolog.
Implanty Wrocław – skonsultuj się z doświadczonym implantologiem
Jeśli planujesz implant lub chcesz sprawdzić stan istniejącej odbudowy, zapraszamy na indywidualną konsultację implantologiczną w Unident Union. Zadzwoń: 71 328 12 12 Umów wizytę online
FAQ – Przestrzeń biologiczna wokół implantu (Wrocław)
Najczęstsze pytania pacjentów dotyczące przestrzeni biologicznej, zdrowia tkanek oraz tego, kiedy warto umówić konsultację implantologiczną we Wrocławiu.
Czym jest przestrzeń biologiczna wokół implantu zębowego?
Przestrzeń biologiczna to mikroskopijna strefa tkanek miękkich i kości otaczających implant zębowy. Pełni rolę naturalnej bariery ochronnej przed bakteriami oraz stabilizuje dziąsło i kość wokół implantu. Implant nie ma ozębnej jak naturalny ząb, dlatego prawidłowo zaprojektowana przestrzeń biologiczna ma kluczowe znaczenie dla długoterminowego sukcesu leczenia.
Dlaczego przestrzeń biologiczna jest tak ważna przy implantach?
To „uszczelnienie biologiczne” decyduje o tym, czy wokół implantu utrzyma się zdrowe dziąsło i stabilny poziom kości. Prawidłowa przestrzeń biologiczna zmniejsza ryzyko stanów zapalnych (w tym periimplantitis) i pozwala implantowi funkcjonować przez wiele lat.
Czy przestrzeń biologiczna wpływa na trwałość implantu?
Tak – w sposób decydujący. Nawet najlepszy implant może mieć powikłania, jeśli na etapie chirurgicznym lub protetycznym zostanie naruszona przestrzeń biologiczna. To jeden z najważniejszych czynników długowieczności odbudowy implantoprotetycznej.
Jakie objawy mogą świadczyć o problemach z przestrzenią biologiczną?
Do najczęstszych objawów należą:
- cofanie się dziąsła lub zaczerwienienie wokół implantu,
- krwawienie przy szczotkowaniu w okolicy implantu,
- odsłonięcie metalowej części łącznika,
- przewlekły obrzęk, dyskomfort lub nieprzyjemny zapach,
- defekty estetyczne (np. ciemna linia przy koronie),
- postępująca utrata kości widoczna w RTG.
Jeśli zauważysz którykolwiek z tych sygnałów – warto jak najszybciej umówić konsultację implantologiczną.
Jakie błędy najczęściej prowadzą do uszkodzenia przestrzeni biologicznej?
Najczęściej są to błędy planowania lub wykonania odbudowy:
- zbyt głębokie osadzenie implantu lub łącznika,
- brak platform switching,
- nieprawidłowy profil wyłaniania łącznika,
- korona protetyczna z nawisem utrudniającym higienę,
- przeciążenia zgryzowe i brak kontroli okluzji,
- brak regularnych wizyt kontrolnych.
Czy pacjent może sam zniszczyć przestrzeń biologiczną?
Bezpośrednio – nie. Projekt przestrzeni biologicznej jest wynikiem planowania chirurgiczno-protetycznego i leży po stronie lekarza. Pośrednio natomiast zaniedbania higieniczne i brak kontroli mogą przyspieszać rozwój stanu zapalnego, jeśli występują czynniki ryzyka.
Czy można sprawdzić stan przestrzeni biologicznej wokół implantu?
Tak. Podczas konsultacji lekarz ocenia tkanki miękkie, wykonuje lub analizuje RTG/CBCT, sprawdza szczelność korony i łącznika, warunki higieniczne oraz obciążenia zgryzowe. To najpewniejsza metoda, by potwierdzić, czy implant funkcjonuje prawidłowo biologicznie.
Czy we Wrocławiu można skontrolować implant założony w innej klinice?
Tak. Konsultacja implantologiczna może obejmować kontrolę implantów założonych w innych gabinetach – w Polsce lub za granicą. Celem jest ocena stabilności tkanek, diagnostyka ewentualnych problemów oraz profilaktyka powikłań.
Kiedy warto umówić konsultację implantologiczną we Wrocławiu?
Warto umówić wizytę, jeśli:
- planujesz leczenie implantologiczne,
- masz implant i chcesz wykonać kontrolę profilaktyczną,
- zauważasz krwawienie, obrzęk, recesję dziąsła lub dyskomfort,
- minęło kilka lat od założenia implantu bez kontroli,
- chcesz sprawdzić poziom kości na RTG/CBCT.
Ile kosztuje konsultacja implantologiczna we Wrocławiu?
Koszt zależy od zakresu diagnostyki (badanie kliniczne, RTG, CBCT). Szczegółowe informacje dotyczące ceny najlepiej uzyskać podczas rejestracji lub bezpośrednio w klinice.
Czy periimplantitis zawsze oznacza usunięcie implantu?
Nie zawsze. Wczesne wykrycie i leczenie (higienizacja, korekta odbudowy, kontrola obciążeń zgryzowych, a czasem leczenie chirurgiczne) mogą zatrzymać proces i uratować implant. Kluczowe jest szybkie zgłoszenie się na konsultację.
Jak często należy kontrolować implanty zębowe?
Najczęściej zaleca się kontrolę co 6–12 miesięcy oraz regularną higienizację. Częstotliwość wizyt dobiera się indywidualnie (np. w zależności od higieny, chorób ogólnych i ryzyka zapalnego).
Poznaj leczenie implantologiczne krok po kroku — bez obaw i niedomówień:
IMPLANTY ZĘBÓW. CZY ZABIEG WSZCZEPIENIA IMPLANTU BOLI?
CZY IMPLANTY CYRKONOWE SĄ LEPSZE OD TYTANOWYCH? | UNIDENT UNION WROCŁAW
