Metamorphosen
Lächel-Metamorphosen in der Gewerkschaft Unident
Bei Unident Union wissen wir, wie wichtig ein schönes und gesundes Lächeln ist. Deshalb haben wir einen Ort geschaffen, an dem jeder Patient eine umfassende Metamorphose seines Lächelns erleben kann.
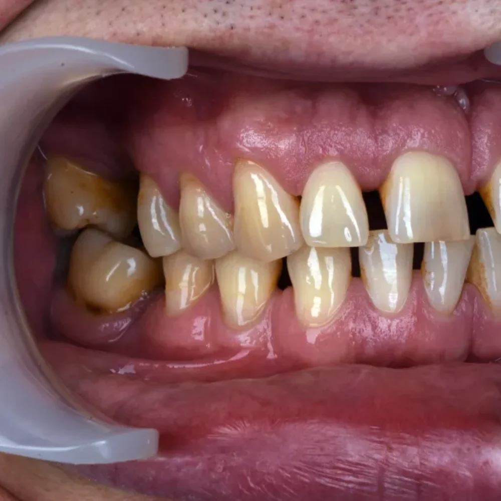
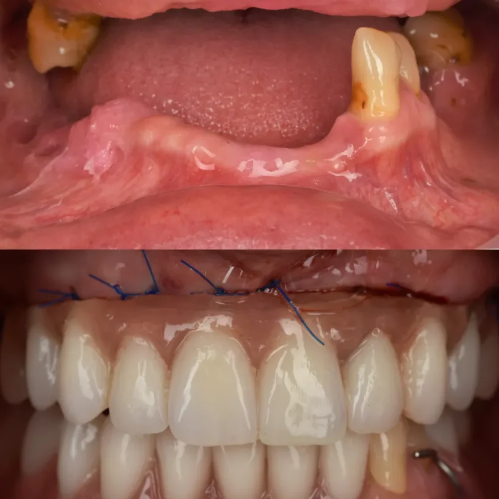
BEVOR
PO
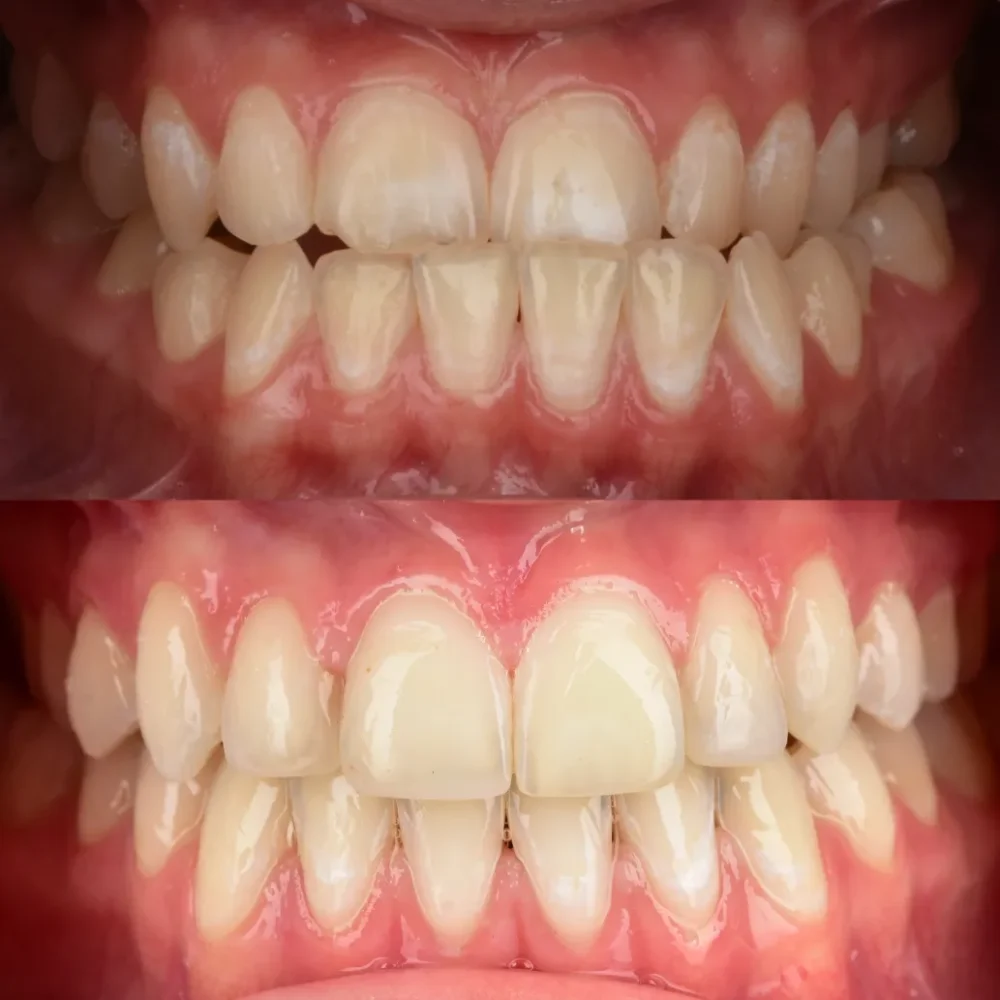
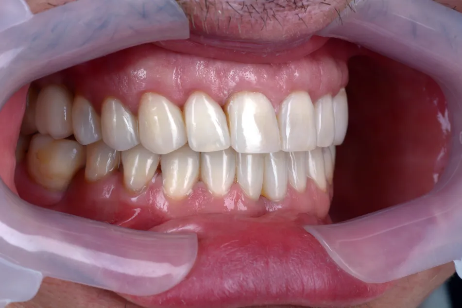
BEVOR
PO
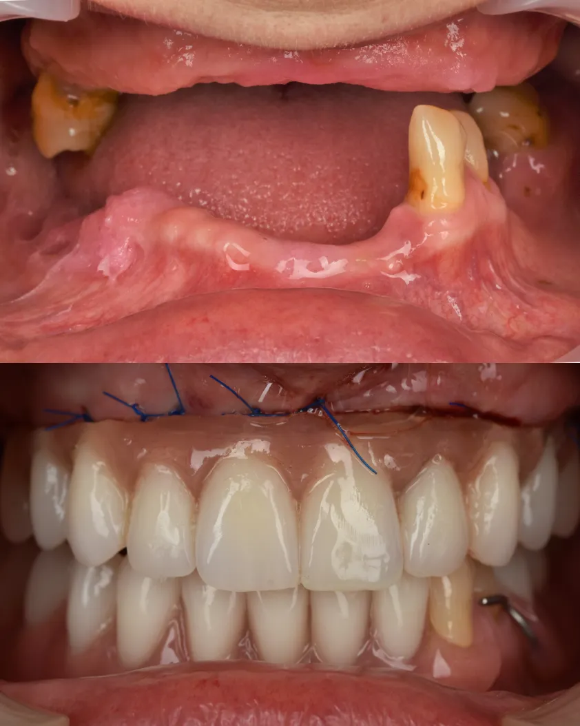
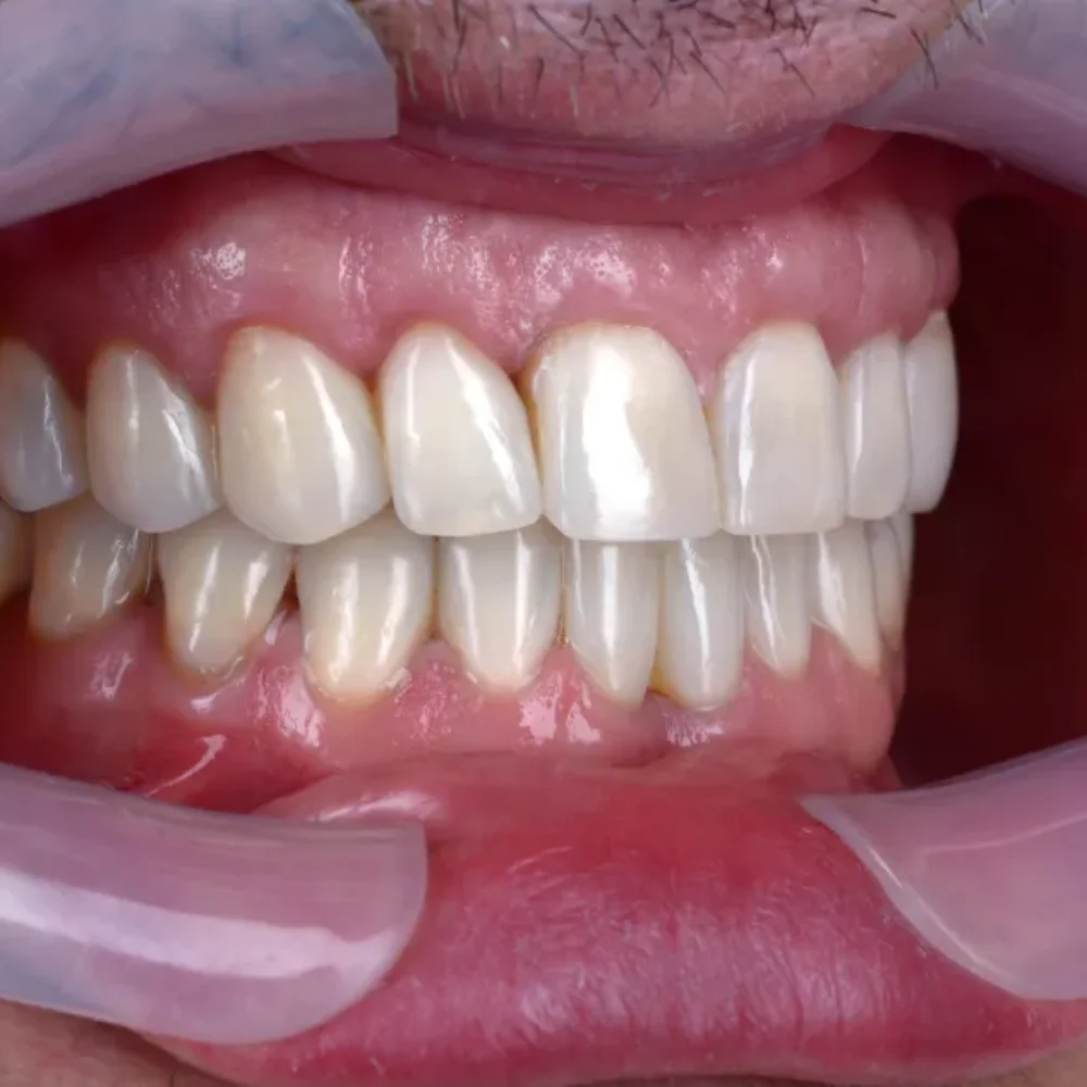
BEVOR
PO
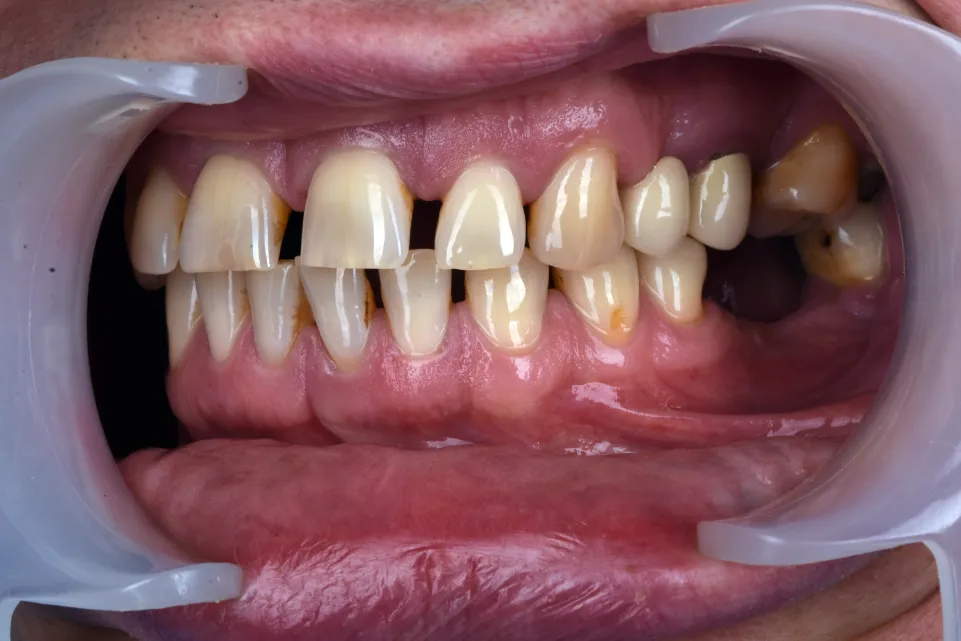
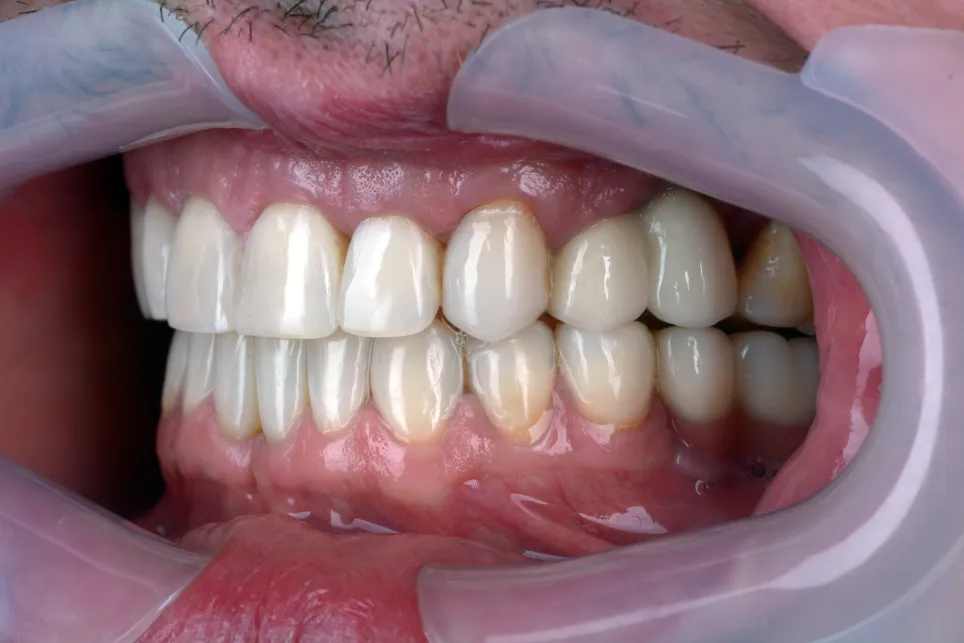
BEVOR
PO
BEVOR
PO
BEVOR
PO
BEVOR
PO
BEVOR
PO
BEVOR
PO
BEVOR
PO
BEVOR
PO
BEVOR
PO
BEVOR
PO
BEVOR
PO
BEVOR
PO
BEVOR
PO
BEVOR
PO
BEVOR
PO
BEVOR
PO
BEVOR
PO
BEVOR
PO
BEVOR
PO
BEVOR
PO
BEVOR
PO
BEVOR
PO
BEVOR
PO
BEVOR
PO







































